JIN`OȃX|[cNjbN

画像検査について

MRI、CTの検査は予約制となっております。
医師の診察の後、必要に応じて検査の予約を取ります。
検査の予約状況によっては、受診当日に検査を行うことができる場合もありますが、
日を改めて検査のご予約をして頂くことが多いので予めご了承下さい。
お電話でのMRI、CT検査のご予約は受け付けておりません。

超電導型1.5T(テスラ)MRI

MRI(Magnetic Resonance Imaging:磁気共鳴断層画像)はレントゲンやCTで観察することが難しい半月板・筋肉・腱・脊髄・椎間板などを観察することが可能です。
当クリニックでは、主に大学病院や総合病院等で使用されているタイプと同じ超電導型MRI装置を導入しております。
オープン型のMRI装置と比較して、より高精細な画像を撮影できます。

超電導型1.5TMRI装置
超電導型1.5TMRI装置
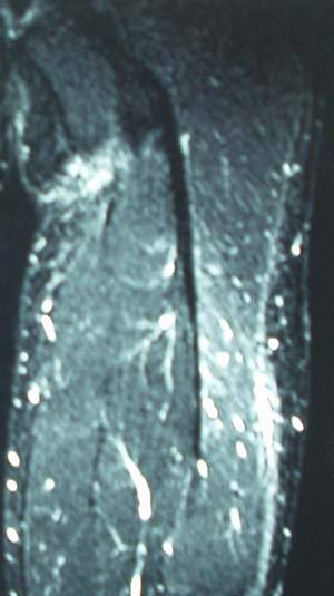
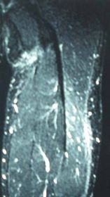
大腿ハムストリング腱断裂MRI画像
大腿ハムストリング腱断裂MRI画像
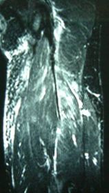
大腿ハムストリング腱断裂 術後4週間
大腿ハムストリング腱断裂 術後4週間
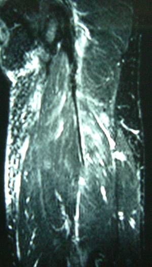
大腿ハムストリング腱断裂 術後4ヶ月
大腿ハムストリング腱断裂 術後4ヶ月

マルチスライスCT

CT(Computed Tomography:コンピュータ断層撮影)はX線を使用し、整形外科領域では主に骨の疾患や形態を高精度に検査することが可能です。
当クリニックではマルチスライスのCT装置を導入しており、1回に撮影できる範囲が広く、また息止めが必要な場合には息を止める時間が短くすみます。
データを3次元処理することで、3D画像として立体的に観察できます。

マルチスライスCT
マルチスライスCT
左足関節の骨棘&分離骨障害 3D-CT画像
左足関節の骨棘&分離骨障害 3D-CT画像
足関節鏡手術後 3D-CT画像
足関節鏡手術後 3D-CT画像

X線骨密度測定装置(DEXA法)

X線を使用し、カルシウム等のミネラルの量(骨密度)を測定します。
当クリニックでは、DEXA(Dual Energy X-ray Absorptiometry)法を採用し、腰椎と大腿骨を測定をすることで、他の骨密度検査法と比べて非常に精度の高い測定結果を得ることができます。

X線骨密度測定装置
X線骨密度測定装置
骨密度測定結果
骨密度測定結果

透視付きX線撮影装置

X線を使用した基本的な画像検査です(いわゆるレントゲン撮影)。全身の骨等の撮影を行います。
当クリニックのX線撮影装置には透視装置が付随しており、透視下での整復や透視下での関節内注入を行うことが可能です。

透視付きX線撮影装置
透視付きX線撮影装置
Copyright © 2013- JIN Orthopaedic & Sports Clinic All Rights Reserved.